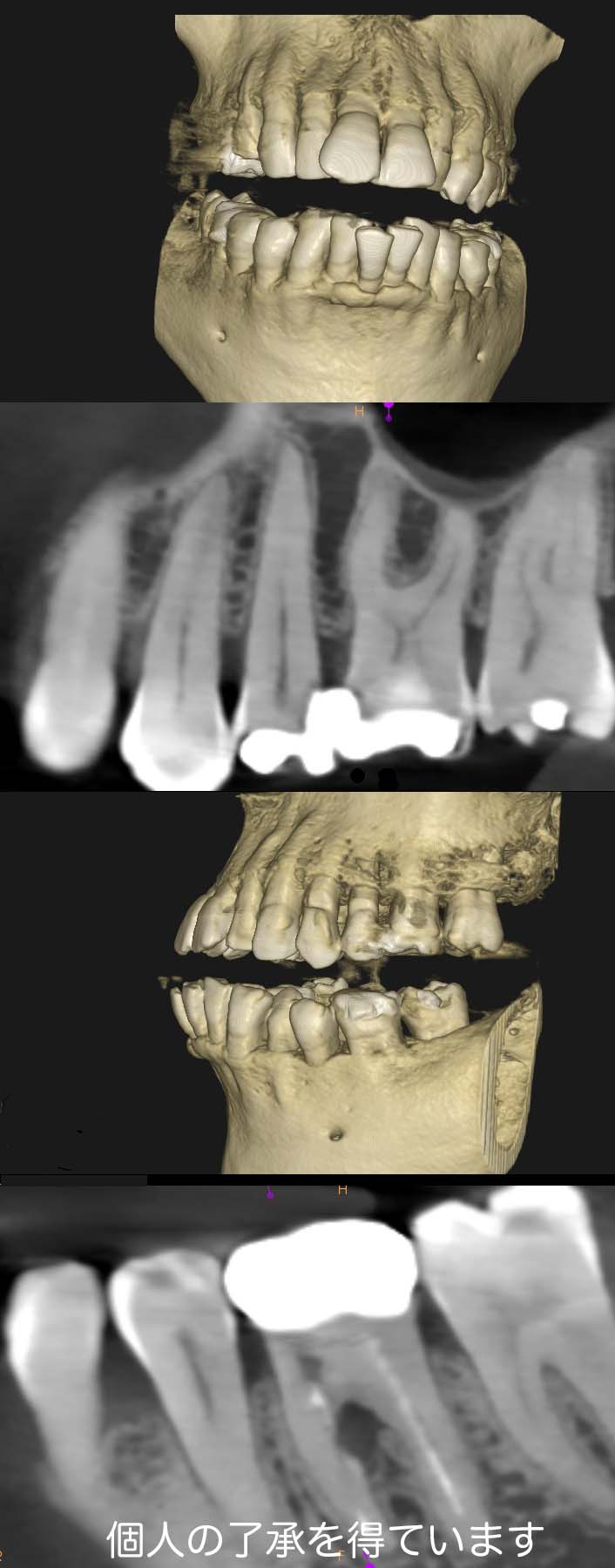
南千里佐竹台で診療している、ハートマークの歯医者さん、いわずみ歯科